マルチスライスCT撮影装置

富士フイルム(株)
Supria
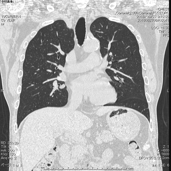
当院では64列マルチスライスCTを導入しています。
高速スキャンが可能で、一回の息止めで広範囲の撮影が可能です。
画像処理ソフトも使用し、
鮮明な3D画像や様々な角度からの断層画像を診断に役立てています。
また患者様の体に応じて、管電流を自動調整することにより、被ばく線量を抑えることが可能です。



骨密度測定装置

富士フイルム(株)
ALPHYS LF
骨粗鬆症は高齢者などに多く見られ、軽度の転倒などで骨折するリスクが高い状態です。
骨折の部位はあらゆる箇所で起こる可能性があり、脊椎圧迫骨折や大腿骨頸部骨折などがあります。
骨塩量は年齢により、減少します。
特に女性の場合閉経期以降に急速に減少します。
当院では整形外科において、治療や治療による経過などを詳しく行っております。
当院の骨密度測定装置は、最新モデルで正確な診断が可能です。
この検査は苦痛もなく、5分程度で終了しますので、安心して検査を受けることができます。